Всё о перкусионной вентиляции
Опыт применения перкуссионной вентиляции легких в качестве спасательной терапии при гипоксемии, которая трудно корректируется методами традиционной ИВЛ после операции на сердце.
Оценка эффективности высокочастотной перкуссионной вентиляции как метода респираторной поддержки у глубоконедоношенных новорожденных с тяжелой респираторной недостаточностью.
Мы представляем описание клинического случая младенца в возрасте 4 недель, у которого развилась тяжелая коклюшная инфекция, требующая ЭКМО.
Есть данные, что ассоциированная с COVID-19 пневмония характеризуется образованием большого количества очень густой и вязкой мокроты. Аппараты интрапульмональной перкуссионной вентиляции IPV Percussionaire давно зарекомендовали себя как эффективный и...
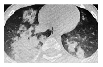
При коронавирусной инфекции SARS-CoV-2 стандартные технологии вентиляции не оправдали надежд и рекомендованы к применению только по жизненным показаниям. Альтернативой традиционной ИВЛ может стать интрапульмональная перкуссионная вентиляция легких.
В работе рассмотрены 3 клинических случая: пациенты, госпитализированные с COVID-пневмонией и тяжёлым острым респираторным синдромом, прошли курс процедур высокочастотной перкуссионной вентиляции (ВЧПВ). После ВЧПВ все пациенты демонстрировал...
