М.Н. Горенкова, М.А. Белов, О.Л. Горшколепова, А.М. Белов

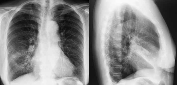
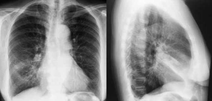
Представлен клинический случай эффективного применения интрапульмональной перкуссионной вентиляции у пациентки 75 лет с ателектазом средней доли, который развился на фоне внебольничной пневмонии. В амбулаторных условиях использовался преимущественно аппарат НС (Percussionaire® Corporation, США). Динамика разрешения ателектаза подтверждена динамическими исследованиями органов грудной клетки с использованием компьютерной томографии.
В настоящее время основной подход в диагностике и лечении заболеваний строится на стандартах, основанных на доказательной медицине. Однако в повседневной медицинской практике приходится сталкиваться с патологиями, для которых нет четко аргументированных и эффективных стандартов, а имеется набор рекомендательных мероприятий и процедур. Одной из подобных проблем является лечение ателектазов легких, возникших на фоне воспалительного процесса, когда основная терапия направлена на эффективный дренаж и адекватный антибактериальный контроль.
Процесс развития медицины – это процесс развития и внедрения новых технологий, расширяющих возможности врачей. Безусловно, при использовании той или иной новой технологии медицинский персонал должен быть хорошо подготовлен, а технология сертифицирована и максимально безопасна.
Эффективное использование подобных технологий и клинические примеры являются источником для появления новых стандартов.
Интрапульмональная перкуссионная вентиляция (ИППВ) представляет собой интересную медицинскую технологию для лечения бронхолегочных заболеваний. ИППВ – метод респираторной терапии, осуществляемый посредством высокоскоростного воздушного потока, при котором маленькие объемы воздуха (перкуссии) подаются пациенту с высокой регулируемой частотой и управляемым, относительно низким уровнем давления через специальный открытый контур (фазитрон), реагирующий на изменения легочного импеданса. Основной механизм действия ИППВ включает вовлечение в процесс дыхания периферических легочных структур (рекрутирование альвеол) и обеспечение хорошей дренажной функции. На уровне бронхов пульсирующий поток воздуха создает колебательные движения в стенке бронха, при помощи которых улучшается бронхиальный кровоток, а на уровне альвеол колебания перкуссий выполняют функцию дополнительной помпы для капиллярного кровотока и оказывают позитивное влияние на лимфоток. Более детальная информация о механизмах действия ИППВ представлена в работе.
В проспективных ретроспективных рандомизированных контролируемых клинических исследованиях показана высокая эффективность ИППВ в лечении ателектазов у детей. Имеются данные об эффективности и безопасности ИППВ в лечении компрессионных ателектазов у лиц с избыточной массой тела и острой дыхательной недостаточностью, у которых отсутствовал должный ответ на традиционную вентиляцию в течение 12 ч. Бельгийскими исследователями была показана высокая эффективность ИППВ при лечении пациентов, у которых после вдыхания дыма и ожога легких развился респираторный дистресссиндром, ассоциированный с сегментарными, лобарными ателектазами легких и полным односторонним ателектазом. Результаты, представленные в клинических исследованиях, позволяют рассматривать ИППВ как метод выбора для лечения ателектазов легких различной этиологии.
Приводится клиническое наблюдение.
